Understanding What Triggers Your Back Pain
Back pain is a widespread condition that affects millions of people, often disrupting daily activities and diminishing quality of life. Understanding the complexities of back

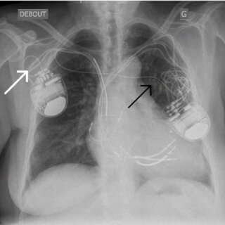
The Role of Pacemakers in Treating Atrial Fibrillation
A pacemaker is a small device placed in the chest or abdomen, and it helps manage abnormal heart rhythms. Doctors may recommend a pacemaker for

Why HRT and Bone Density Matters
Hormone Replacement Therapy (HRT) is a treatment that supplements the body with hormones as natural levels decline. This therapy is often used to manage menopausal

A Comprehensive Guide to Fallopian Tube Removal: What To Expect Before and After
Fallopian tube removal, or salpingectomy, is a surgical procedure to remove one or both of a woman's fallopian tubes. These tubes connect the ovaries to

Examining the Efficacy of Spravato Treatment in Clinical Trials
Spravato is a prescription nasal spray medication approved for adults with treatment-resistant depression, and it contains esketamine. Because it is administered under medical supervision, it

Key Benefits of Regular Annual Check-ups for Adults
Physicians provide annual appointments to track health metrics effectively over time. A provider reviews medical history, and they establish baselines for future care. If you

Exploring the Dietary Impact on Arthritis Management
Diet plays a meaningful role in how arthritis feels day to day, although many people focus only on medications or physical therapy for relief. An

Partnering With Your Doctor for Long-Term Diabetes Success
Managing a chronic condition requires a strong alliance between patient and provider. Open communication fosters trust and helps build a treatment plan tailored to specific
4 Benefits of Visiting a Women’s Health Doctor
Visiting a women's health doctor is a proactive step in managing your overall well-being. These medical professionals have specialized knowledge of the female body across

Exploring the Benefits of Transitional Housing Programs
Housing instability affects countless individuals and families, disrupting their ability to maintain employment. For those moving out of homelessness or domestic violence shelters, finding a

